足のむくみ
むくみ外来には若い女性の方から高齢の方まで様々な年代の方が来られますが、原因は様々です。
①まずは疾患によるむくみを除外する

下肢のむくみは心臓、腎臓、肝臓の障害によるもの、下肢静脈瘤や深部静脈血栓など静脈疾患によるもの、甲状腺機能低下症や月経前症候群、更年期障害などホルモンによるもの、薬剤によるもの、リンパ浮腫など様々な疾患が原因となります。
両側性か、片側性か。むくみのひどくなる時期や時間帯などの問診などである程度疾患の可能性を絞り込んだ上で採血やエコー検査で疾患の可能性を調べていきます。
疾患がみつかれば原因となる疾患をまずは治療します。
②一番多いのは筋ポンプの衰え

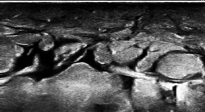
実は上記にあるような疾患によるむくみより、足のむくみを心臓に返すための筋ポンプの衰えが原因であることが最も多いです。超音波で診ると、足首の上の皮膚の下で、脂肪組織の間に組織液が溜まって敷石状に見えるほどむくんでいる方がたくさんいらっしゃいます。
(図3)
その足のむくみを改善するには、足を挙げて寝たり、マッサージをしたり、弾性ストッキングで筋ポンプを助けてあげることが非常に有効です。
飲み薬や貼り薬ではなく治療のメインは弾性ストッキングの着用ということになるわけですが、弾性ストッキングを履くのは最初は意外に難しいものです。「硬くてはけない」「食い込んで痛い」といやになって続けられない方も多く(特に夏場にはつらいです)実はコツがいろいろあります。以下のwebページ(https://shimokitazawa-hp.or.jp/outpatientcare/edema-foreign/)にある動画をみながらぜひ継続してみてください。1か月で2,3cmふくらはぎが細くなる患者さんもたくさんいらっしゃいます。
③若い方の足のむくみは扁平足や筋肉が硬いことも原因に。
若い女性の足のむくみでは扁平足で歩行の効率が悪かったり、下腿や股関節の筋肉が硬くて有効に使えていないことも多いようです。(こういう方ではエコーで診てもあまり組織液は溜まっていません。)
筋肉はついていても関節が硬いと、筋肉が伸縮する範囲が小さくて筋ポンプがやはり有効に使えません。そういう場合には足関節やハムストリングスのストレッチで可動範囲を広げて筋ポンプをしっかり収縮させてやることで少しずつ変化してきます。
扁平足の方にはインソールによる足部のアライメントの調整も有効です。
④医療用弾性ストッキングが履けなくてもあきらめないで。
特に高齢者の方や握力の弱い方では弾性ストッキングが履けないことも多いです。
もちろん医療的に適正な圧のものを着用したほうがいいのはもちろんですが、医療用の弾性ストッキングには弱圧のものから圧力の強いものもありますし、
「適正な圧」にこだわるよりも、履けるものを毎日少しずつでも履くことが大事です。医療用のものが履けないようであれば、少なくとも一番上のところで跡がつくようなものではなくて圧の勾配がついているようなものであれば構いません。市販の着圧ソックスやチューブ包帯(ソフィットVEサポート、TGグリップ、TGソフトなど)を上手に使って少しずつでもむくみをとっていきましょう。また、足首から膝までのサポーターなどは履いている部分より先の足背がむくんでしまうので注意しましょう。
⑤定期的にサイズを測りましょう。
むくみが取れて来ればこれまで履いていたものがゆるくなってきます。また少しずつのびて緩んでくることもあります。3ヶ月に1回ぐらいはサイズを測って、適切なサイズのものを選び直すようにしましょう。