フットケア
足趾の間の胼胝

第4,5趾の指と指の間に硬い胼胝ができている方を見かけます。特にヒールを履いている女性に多いようです。
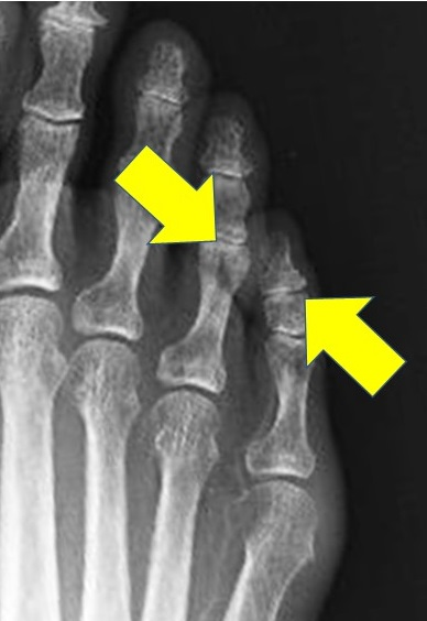
レントゲンで見るとその原因がよくわかります。ご覧のように第4趾の中節骨の張り出しと第5趾の末節骨の張り出しがちょうど当たる位置になってしまうと、骨と骨が当たってそこに痛い胼胝が出来るのです。
これはもともとの骨の長さの問題(ちょうど骨のでっぱり同士が当たる位置に重なってしまっていること)に加え、幅の狭すぎる靴によって横から圧迫されること、開張足になって足が横に広がってしまうこと、長年靴に押されて第5趾が内側に曲がってしまうことなどにより引き起こされることが多いようです。
対症療法としては胼胝の部分が当たらないようにシリコンやクッションのようなものを挟んだりしますが、ここで要注意。これまでと同じ幅の靴を履いたままで足趾の間に何かを挟んでしまうと、挟んだスペーサーにより靴の中のスペースが余計に狭くなって余計に悪化したり、他の足趾が痛くなることもあります。靴の調整や買い替えも合わせて行わないといけません。
どうしても痛くて困る場合には外科的に骨の突出を削る場合もあります。
あまり痛くなったり、胼胝のところがキズになったりするときには病院で相談してください。