フットケア
女性の足の裏のタコについて

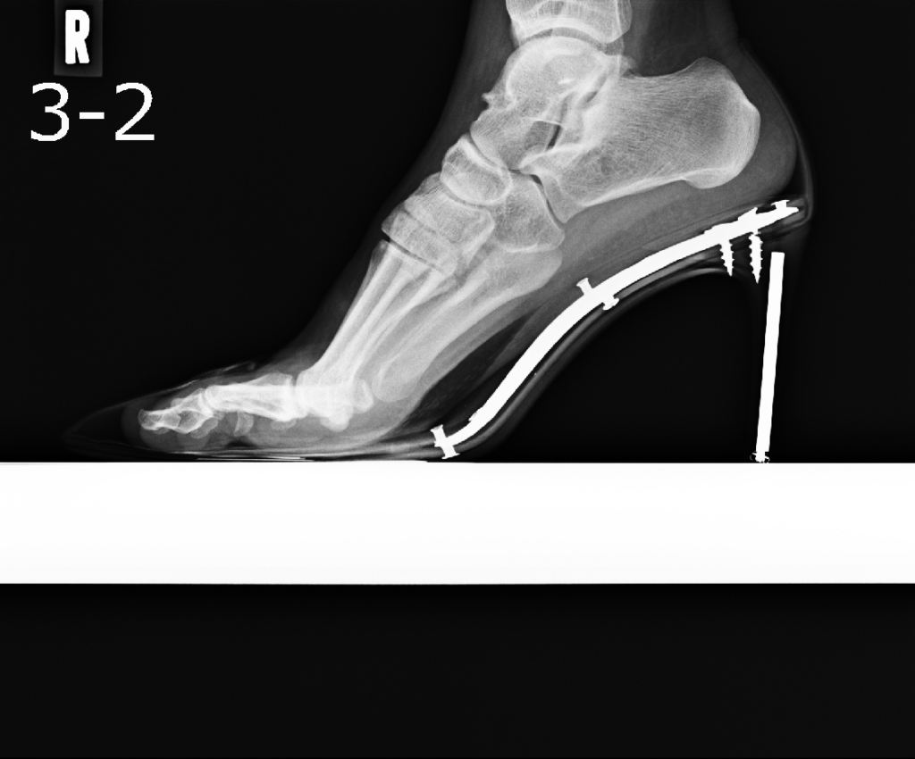
ヒールを履いている女性の足には、母趾と第二趾の間の部分にしばしば縦長の胼胝ができています。中にはウオノメ(鶏眼)がいくつも並んで痛みが出る方も。
ヒールを履いていると踵が上がり、体重が前方向に偏ります。またヒールを履くと角度がつくため中足骨が縦向きに地面に着くようになり、中足骨の骨頭部に圧力が集中します。
また女性の場合には母趾の中足骨基部の可撓性が高い(母趾が上下にゆるい)方が多く、それにより歩くたびによく動く母趾と固定されている二趾の間にズレが生じます。これにより母趾と二趾の間に慢性的な刺激が加えられ、結果として縦長の胼胝が出来ると考えています。
胼胝が出来るだけなら自分で削ってやればいいのですが、鶏眼(ウオノメ)の場合にはそこに痛みが生じ、かばうことで歩行のバランスを失って膝や腰が痛くなる方もいらっしゃいます。
ヒールの足底に入れるシリコンのクッションや滑りにくい中敷きなど市販の商品をうまく使ったり、定期的にフットケアをして、痛みを軽減していきましょう。

